Jak zubní plak ovlivňuje naše dásně: od mírného zčervenání až po ztrátu zubů

Jak zubní plak ovlivňuje naše dásně: od mírného zčervenání až po ztrátu zubů

Náhlížení zdraví dásní

Kontrola zdraví dásní

Odpovězte na následující otázky a zjistěte, zda máte příznaky zánětu dásní. Toto je nástroj pro informační účely a nezamění se s diagnostikou u zubního lékaře.

Zubní plak není jen ten lepkavý film, který cítíte na zubech po snídani. Je to aktivní, živá kolonie bakterií, která se každý den znovu vytváří a přímo útočí na vaše dásně. A pokud ho neodstraníte, začne ničit nejen zuby, ale i tkáně, které je drží na místě. Mnoho lidí si myslí, že když nebolí zuby, je vše v pořádku. To je největší omyl. První příznaky poškození dásní jsou téměř neviditelné - až do okamžiku, kdy je příliš pozdě.

Co je zubní plak a jak vzniká?

Zubní plak je tenká, neviditelná vrstva biofilmu, která se tvoří na povrchu zubů během několika hodin po jídle. Obsahuje stovky druhů bakterií, které se živí cukry a sacharidy z jídel. Když tyto bakterie přeměňují cukry na kyseliny, ničí sklovinu zubů - ale stejně důležité je, že tyto kyseliny a jejich odpadní produkty dráždí dásně.

Nejčastější pachové bakterie v plaku jsou Streptococcus mutans a Porphyromonas gingivalis. První z nich způsobuje zuby, druhá je hlavní původce onemocnění dásní. Plak se nevyskytuje jen mezi zuby - tvoří se také podél dásně, kde je nejtěžší ho vidět a odstranit. Pokud ho neodstraňujete dvakrát denně, začne ztvrzovat a přeměňovat se v zubní kámen.

Jak plak poškozuje dásně?

Dásně nejsou jen červená a zánětlivá, protože jste se špatně čistili. Je to vážná reakce vašeho těla na infekci. Když bakterie v plaku osídli oblast mezi zubem a dásní, začnou uvolňovat toxiny. Vaše tělo reaguje zánětem - zvětšují se krevní cévy, přichází bílé krvinky, dásně se zčervenají, opuchnou a začnou krvácet.

To je první fáze - gingivitida. Je způsobená pouze plakem a je v této fázi zcela vratná. Stačí správně čistit zuby a používat nit na zuby. Ale pokud plak zůstává, bakterie pronikají hlouběji - pod dásňový výběžek, kde se vytváří tzv. zubní kámen. Ten je tvrdý, jako kámen, a nemůže ho odstranit ani nejlepší kartáček. Potom se rozvíjí parodontitida.

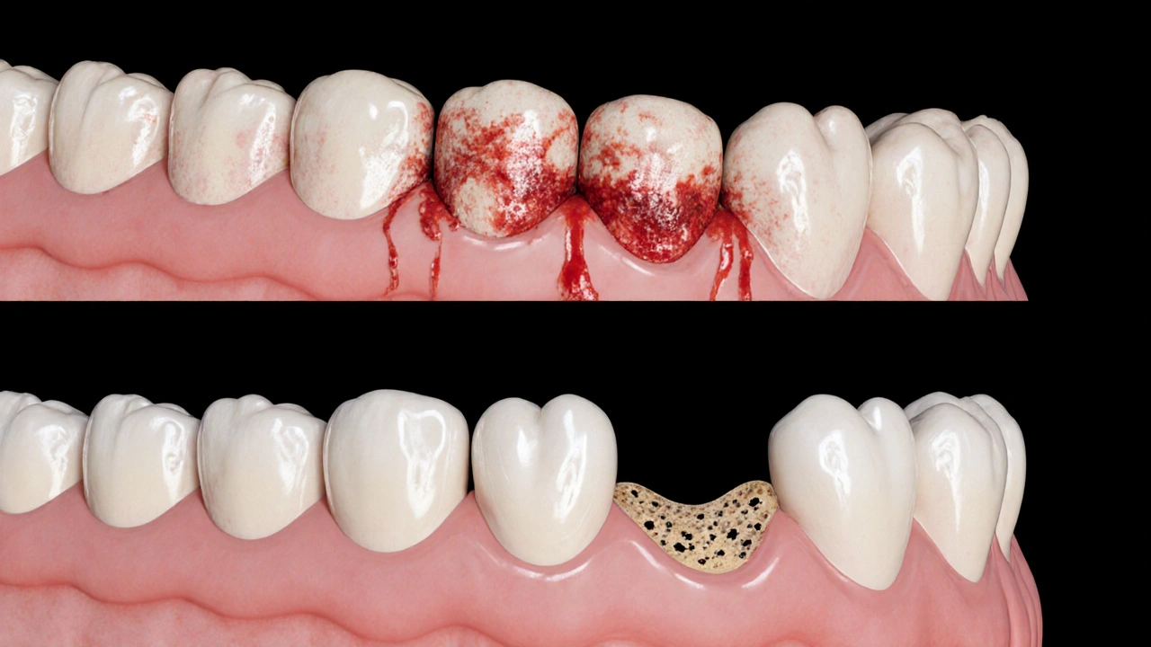
V této fázi se zánět šíří na kost, která drží zub. Kost se začne rozpadat, vznikají tzv. zubní kapsy - mezery mezi zubem a dásní, kde se hromadí ještě více bakterií. Zuby se začnou uvolňovat. Až do chvíle, kdy vás jednoduše opustí. Podle dat z Ústavu zdravotnických informací a statistiky ČR se každoročně v Česku ztrácí přes 200 000 zubů kvůli parodontitidě - většinou u lidí ve věku 40 až 60 let.

Co se stane, když plak neodstraníte?

Neodstraněný plak vede k postupnému ničení. V prvním roce můžete mít jen krvácení při čištění. V druhém roce se dásně začnou stahovat, zuby vypadají delší. Ve třetím roce se objeví zápach z úst, který nezmizí ani po čištění. V pátém roce se zuby začnou hýbat. V desátém roce může být ztráta zubů nevyhnutelná.

Není to jen o estetice. Parodontitida je spojena s vyšším rizikem srdečních onemocnění, cukrovky a dokonce i demence. Bakterie z úst se dostávají do krevního oběhu a mohou způsobit zánět i v jiných částech těla. Výzkum z Univerzity Karlovy v Praze (2024) ukázal, že pacienti s pokročilou parodontitidou mají o 45 % vyšší riziko infarktu než lidé se zdravými dásněmi.

Postupné poškození dásní od zdravého stavu až po ztrátu kosti a zubu.

Jak zjistit, zda máte problém s dásněmi?

Nečekejte, až začne bolet. Zkontrolujte si tyto příznaky:

  • Dásně krvácí při čištění nebo při jídle (např. když jíte jablko)
  • Dásně jsou červené, opuchlé nebo lesklé
  • Zápach z úst, který nezmizí po čištění
  • Stahování dásní - zuby vypadají delší
  • Zuby se hýbou nebo se cítí volné
  • Bolest při žvýkání nebo citlivost na teplé a studené

Nejčastější chyba: lidé si myslí, že krvácení je normální. Není. To je vaše tělo, které vás varuje: „Zde je něco špatně.“

Jak plak odstranit a dásně ochránit?

Odstranit plak je jednoduché - ale musíte to dělat pravidelně a správně.

  1. Čistěte si zuby dvakrát denně - ráno a večer. Používejte kartáček s jemnými štětinami a zubní pastu s fluoridem. Čistěte nejen zuby, ale i hranici dásně - tam se plak tvoří nejvíc.
  2. Používejte nit na zuby denně. Kartáček nedosáhne na mezery mezi zuby. Nit odstraní až 80 % plaku, který by jinak zůstal. Pokud vám nit škrtí, zkuste jiný typ - např. těkavý nebo vodní proud.
  3. Nezapomínejte na jazyk. Bakterie se hromadí i na jazyce. Očistěte ho kartáčkem nebo jazykovým scraperem.
  4. Vyhněte se častému jídlu sladkého. Každý sladký příběh - i čaj s cukrem, sušenky nebo ovoce - zvyšuje kyselost v ústech. Pokud sníte sladké čtyřikrát denně, plak se tvoří nepřetržitě.
  5. Navštěvujte zubního lékaře každých 6 měsíců. Lékař odstraní zubní kámen, který už nemůžete odstranit doma. A zkontroluje, zda nevzniká zánět pod dásní.

Nejúčinnější metoda je kombinace kartáčku, niti a pravidelných návštěv zubního lékaře. Nic jiného to nezvládne.

Symbolický obraz prevence: kartáček a nit zastavují ničení dásní a kosti.

Když už je poškození zahájeno - co dělat?

Pokud máte krvácení dásní, zápach nebo stahování, nečekáte na léta. Jděte k zubnímu lékaři. Dnes existují účinné metody, které zastaví pokročilé poškození:

  • Skalpelování dásní - odstranění zubního kamene pod dásní
  • Antibiotické gely - aplikují se přímo do zubních kaps
  • Regenerační terapie - pomocí laseru nebo biologických látek se podporuje růst nové kosti

Některé kliniky v Brně a Ostravě používají novou technologii - photodynamic therapy - kde se světlo aktivuje lék, který zničí bakterie bez poškození tkáně. Je to bezbolestné a bez antibiotik.

Nevyplatí se čekat. Čím dříve začnete, tím menší náklady a tím větší šance, že si udržíte všechny zuby.

Co se stane, když dásně ztratíte?

Ztráta dásní je nevratná. Kost, která se rozpadla, se nevrátí sama. Pokud ztratíte zub, zbytek zubů se začne posouvat - můžete získat špatný příkus, bolesti čelisti, problémy s kousáním. Náhrada zubu implantátem je nákladná - 15 000 až 30 000 Kč za jeden zub. A ani implantát nezabrání dalšímu poškozování dásní, pokud plak zůstává.

Nejlepší lék je prevence. Nejlevnější lék je prevence. Nejúčinnější lék je prevence.

Je krvácení dásní normální?

Ne, krvácení dásní není normální. Je to první známka zánětu způsobeného zubním plakem. Pokud krvácíte při čištění, znamená to, že plak už dlouho neodstraňujete dostatečně. Nečekáte na to, že to přestane - jděte k zubnímu lékaři a zlepšete hygienu.

Může zubní plak způsobit zápach z úst?

Ano, zubní plak je jednou z nejčastějších příčin zápachu z úst. Bakterie v plaku rozkládají zbytky potravy a uvolňují siřičité sloučeniny, které mají nepříjemný zápach. I když se čistíte, pokud plak zůstává pod dásní, zápach zůstane. Pouze odstranění plaku a zubního kamene ho odstraní trvale.

Je lepší používat elektrický kartáček nebo ruční?

Elektrický kartáček je efektivnější - studie z roku 2023 ukázaly, že odstraňuje o 21 % více plaku než ruční kartáček. Ale klíčové je, jak ho používáte. Pokud ruční kartáček držíte správně a čistíte 2 minuty, může být stejně účinný. Elektrický je ale lepší pro lidi, kteří mají problémy s koordinací nebo rukama.

Může zubní plak ovlivnit i děti?

Ano, i děti mají zubní plak. U dětí se často vyskytuje tzv. „plak na předních zubech“ - zvláště pokud pijejí sladké nápoje před spaním. To může vést k rychlému zánětu dásní i zubního kazu. Děti by měly být od dětství učeny správné hygieně - a rodiče by měli pomáhat čistit zuby až do věku 8 let.

Můžu odstranit zubní kámen doma?

Ne. Zubní kámen je tvrdý, jako kámen, a nemůže ho odstranit kartáček, nit ani domácí prostředky. Pokusy o jeho odstranění nástroji - jako jsou kovové škrábance nebo „dětské zubní nástroje“ - mohou poškodit zubní sklovinu nebo dásně. Pouze zubní lékař má speciální nástroje, které odstraní kámen bez škody.

Dalibor Zelenka
Dalibor Zelenka

Jsem stomatolog se specializací na preventivní péči a estetickou stomatologii. Mimo práci v ordinaci rád píšu články a blogy na téma péče o zuby a ústní hygieny, abych rozšířil povědomí o důležitosti pravidelné péče a inovacích v oboru.

Slané Zuby

Nejnovější příspěvky

Kontaktujte nás

ODESLAT ZPRÁVU