Jak se zbavit žlutých zubů: praktické způsoby, které skutečně fungují

Jak se zbavit žlutých zubů: praktické způsoby, které skutečně fungují

Výběr vhodného způsobu bělení zubů

Zjistěte, který způsob bělení zubů je pro vás nejvhodnější. Odpovězte na několik otázek a my vám poradíme, co máte zvolit.

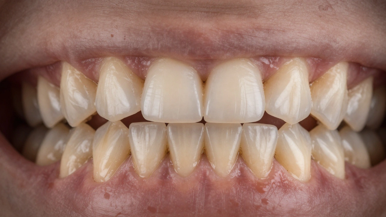
Jak vypadají vaše žluté zuby?

Doporučení pro vás

Žluté zuby neznamenají, že si nečistíte zuby. To je první věc, kterou potřebujete pochopit. Mnoho lidí si myslí, že když mají žluté zuby, je to důkaz špatné hygieny. Ale není to pravda. Zuby se žlutí z mnoha důvodů - od stravy až po věk, léky nebo genetiku. A ne všechny způsoby, jak se jich zbavit, jsou stejně bezpečné nebo účinné.

Proč se zuby žlutí?

Zuby nejsou přirozeně bílé jako sníh. Přirozená barva zubů je mírně šedavá nebo žlutavá, protože sklovina, která je nejvnitřnější vrstvou, je průhledná. Pod ní je dentin - vrstva, která má přirozeně žlutý odstín. Když se sklovina tenčí s věkem nebo po agresivním čištění, dentin se projevuje více. To je normální.

Žlutost se ale může zhoršit kvůli vnějším faktorům. Káva, černý čaj, červené víno, tabák, tmavé sodovky a některé potraviny s přírodními barvivy (jako je špenát nebo borůvky) se na zubech ukládají. Tyto skvrny se nazývají extrinsické - jsou na povrchu a lze je odstranit.

Extrinsické skvrny jsou jednodušší na odstranění. Ale když se barviva dostanou pod sklovinu, například kvůli dlouhodobému užívání tetracyklinových antibiotik v dětství nebo po úrazu zubu, jde o intrinsické zbarvení. To je mnohem obtížnější na řešení a často vyžaduje profesionální zásah.

Co funguje - a co ne?

Na trhu je spousta produktů slibujících „bělení za 2 dny“. Většina z nich je buď neúčinná, nebo škodlivá. Zde je přehled těch, které skutečně mají vliv.

  • Zubní pasty s bělícími látkami - obsahují jemné abrazivní částice nebo chemikálie jako peroxid vodíku v nízké koncentraci. Můžou odstranit povrchové skvrny, ale nezmění přirozenou barvu zubů. Důležité: nekupujte ty s příliš silnými abrazivy - mohou poškodit skloviny. Výrobky s označením „ADA Seal of Acceptance“ jsou bezpečné.
  • Bělící proužky - obsahují peroxid vodíku nebo karbamid peroxid. Výsledky se obvykle projeví za 7-14 dní. Jsou levnější než klinické bělení, ale mohou způsobit citlivost zubů. Není vhodné je používat častěji než dvakrát ročně.
  • Domácí bělící šablony - koupíte je v lékárně nebo online. Většinou obsahují gel s peroxidem, který vložíte do pružné šablony. Jsou efektivnější než proužky, ale potřebujete je používat pravidelně 1-2 týdny. Riziko: šablony, které nejsou přesně přizpůsobené, mohou způsobit podráždění dásní.
  • Domácí recepty (sóda, citron, kokosový olej) - tyto metody jsou nebezpečné. Sóda je příliš abrazivní a může poškodit skloviny. Citronová kyselina rozkládá sklovinu. Kokosový olej má jen omezený účinek na odstranění skvrn - není to bělící prostředek.

Nejbezpečnější a nejúčinnější způsob, jak se zbavit žlutých zubů, je profesionální bělení u zubního lékaře. Tam používají vyšší koncentrace peroxidu, který je aktivován světlem nebo laserem. Výsledek je vidět hned po jedné návštěvě. Zuby se mohou zjasnit o 5-10 odstínů. Proces trvá 60-90 minut a je bezbolestný.

Zubní lékař aplikuje profesionální bělící gel na zuby pacienta v klinice pod modrým světlem.

Co dělat, pokud máte citlivé zuby?

Je běžné, že po bělení zuby začnou citit na studené nebo horké potraviny. To je dočasné - obvykle ustupuje během několika dní. Ale pokud máte už předtím citlivé zuby, měli byste se bělení vyhnout nebo zvolit jemnější variantu.

Zubní lékaři v České republice doporučují před bělením provést profilaxi - odstranění nánosů a zkontrolovat stav zubů. Pokud máte karies, zlomené plomby nebo odkryté kořeny, bělení může zhoršit problém. V takovém případě je nejprve potřeba léčit zuby, až potom bělit.

Pro citlivé zuby existují speciální bělící gely s obsahem fluoridu nebo struvitu, které snižují citlivost. Některé kliniky v Brně a Ostravě nabízejí bělení s ochranou - například před bělením aplikují ochranný gel na dásně a zuby.

Co po bělení?

Po bělení je důležité dodržovat tzv. „bílou dietu“ na 48 hodin. To znamená: vyhnout se kávě, čaji, červenému vínu, čokoládě, rajčatové omáčce, černému chlebu, červenému zelí a tabáku. Tyto potraviny se na nově bělených zubech rychle ukládají.

Je dobré používat zubní pastu s fluoridem a měkkou kartáčkem. Nepoužívejte bělící pasty denně - stačí 2-3krát týdně. Denně čistěte zuby dvakrát a používejte nit na zuby. Tím udržíte výsledek déle.

Profesionální bělení trvá obvykle 1-3 roky. Pokud jste kouřák nebo pije hodně kávy, může být nutné opakovat po 6-12 měsících. Domácí metody trvají kratší dobu - obvykle 3-6 měsíců.

Porovnání: zuby po konzumaci barviv vs. po profesionálním bělení s jídlem pro bílou dietu.

Když nic jiného nepomůže

Někdy se zuby žlutí kvůli vrozeným vadám nebo po léčbě nervu (endodoncii). V takových případech bělení nezvýší barvu zubu - pouze zvýší kontrast mezi bělícím zubem a okolními. V takovém případě je řešením keramická vložka nebo korunka.

U jednoho zubu, který se žlutí po léčbě nervu, se používá vnitřní bělení - lékař vloží bělící gel dovnitř zubu a zavře ho na několik dní. To je bezpečná metoda, která funguje i tam, kde venkovní bělení selhává.

Pro více zubů se doporučují vložky nebo plnky z kompozitního materiálu nebo keramiky. Tyto metody nejsou levné - cena za jeden zub se pohybuje od 1 500 do 4 000 Kč - ale výsledek je trvalý a přirozený.

Nejlepší způsob, jak se zbavit žlutých zubů

Nejlepší způsob je kombinace: nejprve navštivte zubního lékaře, nechte si odstranit nánosy a zkontrolovat stav zubů. Pokud je vše v pořádku, zvolte profesionální bělení. Poté dodržujte pravidelnou hygienu a vyhýbejte se barvivům.

Nikdy nezačínejte s nejagresivnějšími metodami. Nejprve zkuste měkké řešení - bělící pastu a nit na zuby. Pokud to nestačí, přejděte na domácí šablony. A až potom - a jen po konzultaci - zvažte klinické bělení.

Nezapomeňte: bělení není účel, ale prostředek. Cílem není mít bílé zuby jako sníh, ale zdravé a čisté zuby, které vás nezahanbují. A to se dá dosáhnout i bez chemických kouzel.

Může bělení poškodit zuby?

Ano, pokud se používá nesprávně. Agresivní abrazivní pasty, citronová šťáva nebo příliš časté používání bělících proužků mohou poškodit skloviny. Profesionální bělení u zubního lékaře je bezpečné, protože lékař kontroluje koncentraci látek a chrání dásně. Nikdy nebělte zuby častěji než dvakrát ročně.

Je bělení zubů bezpečné během těhotenství?

Nejsou žádné důkazy, že bělení zubů poškodí plod, ale většina zubních lékařů doporučuje odložit bělení na početí. Těhotenství zvyšuje citlivost dásní a zubů. Pokud chcete zlepšit vzhled zubů, zaměřte se na čištění a profilaxi. Po porodu můžete bělení zvážit znovu.

Proč se zuby po bělení znovu žlutí?

Protože zuby nejsou zámkem. Pokud pokračujete v pítí kávy, černého čaje nebo kouření, barviva se opět ukládají. Bělení nezabrání novým skvrnám - jen je odstraní. Udržení výsledku vyžaduje změnu návyků. Pokud nechcete, aby se zuby znovu žlutily, vyhýbejte se barvivům a čistěte zuby pravidelně.

Je lepší bělení v klinice nebo doma?

Bělení v klinice je rychlejší, účinnější a bezpečnější. Domácí metody jsou levnější, ale vyžadují více času a mohou vést k nežádoucím účinkům, pokud se používají špatně. Pokud máte zdravé zuby a chcete rychlý výsledek, vyberte kliniku. Pokud máte omezený rozpočet a čas, domácí metody mohou být dobrým kompromisem.

Může bělení zubů odstranit skvrny po antibiotikách?

Pokud jsou skvrny způsobeny tetracyklinou nebo jiným antibiotikem užívaným v dětství, jde o intrinsické zbarvení. Standardní bělení na povrchu zubu to neodstraní. V takovém případě je potřeba vnitřní bělení (pro jeden zub) nebo keramické vložky. Lékař vám po vyšetření doporučí nejlepší řešení.

Dalibor Zelenka
Dalibor Zelenka

Jsem stomatolog se specializací na preventivní péči a estetickou stomatologii. Mimo práci v ordinaci rád píšu články a blogy na téma péče o zuby a ústní hygieny, abych rozšířil povědomí o důležitosti pravidelné péče a inovacích v oboru.

Slané Zuby

Nejnovější příspěvky

Kontaktujte nás

ODESLAT ZPRÁVU