Jak se pozná zánět v zubu? Příznaky, které nesmíte přehlédnout

Jak se pozná zánět v zubu? Příznaky, které nesmíte přehlédnout

Známka zánětu v zubu? Náš test

Ověřte, zda máte zánět v zubu

Tento test vám pomůže zjistit, zda máte příznaky zánětu v zubu. Pokud zaznamenáte některé z následujících příznaků, doporučujeme vám okamžitě navštívit zubního lékaře.

Zánět v zubu se neobjeví náhodou. Je to výsledek dlouhodobého zanedbávání, kdy bakterie z kazu postupně pronikají do nitra zubu a začínají ničit nerv a krevní cévy. Mnoho lidí si myslí, že bolest zubu je jen dočasný problém, který zmizí sám. Ale když zub začne bolet trvale, zvlášť v noci, nebo když se vám objeví otok na dásni - to už není jen kazy. To je zánět, a ten se nevyřeší samovolně.

Co vlastně způsobuje zánět v zubu?

Zánět v zubu většinou začíná jako malý kazy. Když ho necháte bez léčby, bakterie pronikají hlouběji - skrz smalt, pak dentin, až do pulpy, kde je nerv a krevní cévy. Tam se začínají množit, způsobují zánět a hromadí se tam hnis. Tento proces se jmenuje pulpitida, a když se hnis rozšíří mimo kořen zubu, vzniká absces. To je ten nejhorší případ - když se pod zubem vytvoří malá kapsle plná hnisu, která může způsobit otok tváře, horko, nebo dokonce horečku.

Nejčastější příčiny: nepravidelné čištění zubů, přehnaná konzumace cukru, zapomínání na nitě nebo mezizubní kartáčky, a hlavně - odkládání návštěvy zubního lékaře. Mnoho lidí čeká, až zub začne bolet, a pak už je pozdě. Zánět se neobjeví najednou. Je to pomalý proces, který může trvat měsíce.

Jak poznáte, že máte zánět v zubu?

Není to jen bolest. Zánět má celou řadu příznaků, které se často přehlížejí. Tady jsou ty nejčastější:

  • Trvalá bolest - nejen při jídle nebo pití, ale i v klidu, obzvláště v noci. Když se bolest zhoršuje, když ležíte, je to klasický znak, že se hnis hromadí pod zubem.
  • Citlivost na teplotu - zub reaguje na horko i studeno, a bolest trvá i po odstranění podnětu. To není jen citlivost - to je zánět nervu.
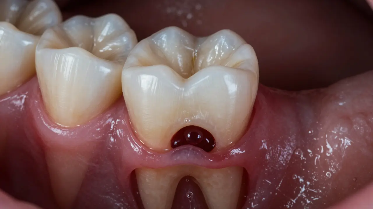
  • Otok dásně - místo, kde zub vyrůstá, je červené, zvětšené, a při doteku bolestivé. Může se tam objevit malá „bublinka“ - to je hnisový výrůstek, tzv. fistula.
  • Zápach z úst - i když si čistíte zuby, zůstává zápach. To není jen špatná hygiena - to je hnis, který se uvolňuje do ústní dutiny.
  • Bolest při kousání - když zub při stisknutí bolestí „odpovídá“, znamená to, že zánět dosáhl na kost kolem kořene.
  • Otok tváře - pokud se vám tvář rozfukuje, je to nouzová situace. Hnis se šíří do tkání a může ohrozit dýchací cesty.
  • Horečka nebo celková nevolnost - tělo se snaží bojovat s infekcí. Pokud máte horečku spolu s bolestí zubu, jde už o systémovou infekci.

Nejnebezpečnější je, že některé záněty nemají žádnou bolest. Zvláště u starších lidí nebo u lidí s oslabenou imunitou může zánět postupovat bez příznaků, dokud se neobjeví velký otok nebo hnis se dostane do krve. To může vést k sepsi - životně ohrožujícímu stavu.

Co dělat, když si všimnete příznaků?

Nečekáte. Neberete jen léky na bolest. Nezakládáte si na zubě čajový pytlík. To všechno je jen dočasné úlevy. Zánět v zubu se nevyléčí doma.

První krok je okamžitá návštěva zubního lékaře. Pokud nemáte termín, jděte na nejbližší zubní ordinaci - mnohé mají akutní příjmy. Lékař provede rentgen a zjistí, zda je zub záchranný, nebo jestli je nutná extrakce.

Možnosti léčby:

  1. Root canal (léčba kořenového kanálu) - pokud je zub ještě zachránitelný, lékař odstraní zánětlivou pulpu, vyčistí kanály a zub zaplní. Pak ho obvykle zakryje korunkou. Toto je nejčastější řešení - a zub může sloužit ještě desítky let.
  2. Extrakce - pokud je zub příliš poškozený, nebo pokud se zánět rozšířil do kosti, zub musí být vytažen. To není „zlo“, ale nutná opatrnost, aby infekce nešla dál.
  3. Antibiotika - pouze v případě, že infekce šíří do tkání. Antibiotika samotná zánět nevyléčí. Pouze zpomalí šíření, dokud se nevyřeší zdroj - tedy zub.

Nejčastější chyba: lidé si koupí antibiotika bez předpisu. To je nebezpečné. Zbytečně zatěžujete tělo, a zároveň neřešíte příčinu. Zánět se vrátí - a možná ještě hůře.

Muž drží opuchlou tvář v noci, viditelný otok a nouzová situace.

Co se stane, když to ignorujete?

Ignorování zánětu v zubu je jako zapalovat oheň v domě a čekat, až se sám uhasí. Výsledek je vždy stejný - škoda se rozšiřuje.

Infekce může postupovat do:

  • Kosti čelisti - vzniká osteomyelitida, která vyžaduje dlouhodobou léčbu a často i operaci.
  • Okolní tkáně - otoky se mohou rozšířit do krku, očí, nebo dokonce do mozku (vzácně, ale možné).
  • Krevního oběhu - bakterie se dostanou do krve a mohou způsobit endokarditidu - zánět srdečních chlopetek. To je životně ohrožující stav, zejména u lidí s poškozeným srdcem.
  • Utracení zubů - když se zánět rozšíří na sousední zuby, může je také zničit.

Studie z roku 2023 z University of Copenhagen ukázaly, že lidé s nelečenými zubními infekcemi mají o 28 % vyšší riziko srdečních onemocnění. To není „možná“ riziko - to je vědecky prokázaná souvislost.

Jak tomu předcházet?

Zánět v zubu se neobjeví z ničeho. Vzniká kvůli zanedbání. A to se dá zvrátit.

Tady je, co opravdu funguje:

  • Čistěte si zuby dvakrát denně - alespoň dvě minuty, používejte fluoridovou pastu. Nejde jen o čištění - fluorid posiluje smalt.
  • Používejte mezizubní kartáčky nebo nit - kazy často začínají mezi zuby, kde kartáček nedosáhne.
  • Navštěvujte zubního lékaře každých 6 měsíců - i když nic nebojíte. Rentgen odhalí kazy, které ještě nebojí.
  • Omezte cukr - nejen sladkosti, ale i bílý chléb, ovoce v množství, a sladké nápoje. Bakterie jedí cukr a produkují kyselinu.
  • Nepřehlížejte malé bolesti - pokud zub „trochu“ bolel, a pak zmizel, to neznamená, že je všechno v pořádku. To může být předzvěst zánětu.
Koncepční znázornění zánětu v kořeni zubu šířícího se do kosti.

Co dělat, když nemáte peníze na léčbu?

V České republice máte nárok na základní zubní péči přes veřejné zdravotní pojištění. Základní léčba kazu, odstranění zubu, nebo i root canal je pokrytý pojistkou. Pokud vám lékař říká, že to není pokryto - požádejte o výpis z pojistného smluvního seznamu. Některé ordinace mají i platební možnosti nebo slevy pro studenty a důchodce.

Nechte si vydat lékařský předpis a podívejte se na Nemocnice.cz - tam najdete seznam zubních ordinací, které mají smlouvu s pojišťovnami. Nejste sami. Mnoho lidí se bojí jít, protože si myslí, že to stojí moc. Ale nelečený zánět stojí víc - v bolesti, čase, a v zdraví.

Když se zub začne bolet - nečekáte.

Zánět v zubu není problém, který se vyřeší sám. Je to varování těla, že něco je vážně špatně. A když ho ignorujete, tělo se začne bránit - a to už může stát život.

Nejlepší léčba je včasná diagnóza. Nejlevnější léčba je prevence. A nejbezpečnější je jít k lékaři, když se cítíte, že něco není v pořádku. Nečekejte, až se vám rozfukne tvář. Nečekejte, až vás bolest přiměje k návštěvě. Udělejte to dřív. Váš zub, váš úsměv a vaše zdraví to stojí.

Může zánět v zubu zmizet sám?

Ne. Zánět v zubu se nevyléčí sám. Pokud přestane bolet, znamená to, že nerv zemřel - ale bakterie zůstaly. Hnis se může hromadit a šířit do kosti nebo do krve. To je nebezpečnější, protože nebojíte - a pak je léčba složitější a drahá.

Je bolest zubu vždy znamení zánětu?

Ne. Bolest může být způsobena i citlivým zubem, trhlinou, nebo horkým jídlem. Ale když bolest trvá déle než 2-3 dny, zvlášť v noci, nebo se objeví otok, je to zánět. Pokud nejste jistí, nechte si to zkontrolovat.

Může zánět v zubu ovlivnit i jiné zuby?

Ano. Bakterie se šíří v ústech. Zánět v jednom zubu může poškodit i sousední zuby, dásně, nebo kost čelisti. Pokud máte zánět, měli byste nechat zkontrolovat i ostatní zuby - i když nebojí.

Je bezpečné jít na zubního lékaře, když mám horečku?

Ano - a je to dokonce nutné. Horečka znamená, že infekce šíří. Zubní lékař vám může dát antibiotika a okamžitě začít léčit zdroj. Čím dřív to vyřešíte, tím rychleji se zlepšíte. Nečekání může vést k hospitalizaci.

Co dělat, když se mi objeví bublinka na dásni?

To je hnisový výrůstek - fistula. Nejde o nic, co byste měli šťápat nebo probodávat. To může způsobit širší infekci. Okamžitě navštivte zubního lékaře. Tento výrůstek je znamením, že infekce má výstup - ale zdroj je stále uvnitř zubu.

Dalibor Zelenka
Dalibor Zelenka

Jsem stomatolog se specializací na preventivní péči a estetickou stomatologii. Mimo práci v ordinaci rád píšu články a blogy na téma péče o zuby a ústní hygieny, abych rozšířil povědomí o důležitosti pravidelné péče a inovacích v oboru.

Slané Zuby

Nejnovější příspěvky

Kontaktujte nás

ODESLAT ZPRÁVU