Co je okostice zubů a proč je důležitá pro estetické restaurace?

Co je okostice zubů a proč je důležitá pro estetické restaurace?

Výpočet ztráty okostice

Vypočítejte, jak rychle se může ztrácet okostice

Po ztrátě zubu se okostice (alveolární kost) začíná postupně ztrácet. Tento nástroj vám ukáže, kolik okostice můžete ztratit v závislosti na čase od ztráty zubu.

Poznámka: Tento nástroj poskytuje pouze orientační odhad. Pro přesnou diagnostiku a doporučení se vždy obraťte na zubního lékaře.

Okostice zubů není jen lékařský termín - je to klíčová součást každé úspěšné estetické restaurace. Mnoho lidí si myslí, že krásný úsměv znamená jen bělší zuby nebo dokonalé korunky. Ale skutečná trvalost a přirozenost výsledku začíná pod povrchem - v kosti, která drží zub v místě. Bez dostatečné okostice se ani nejlepší protéza nevydrží, a často se začne pohybovat, bolet nebo vypadat nepravděpodobně.

Co vlastně okostice zubů je?

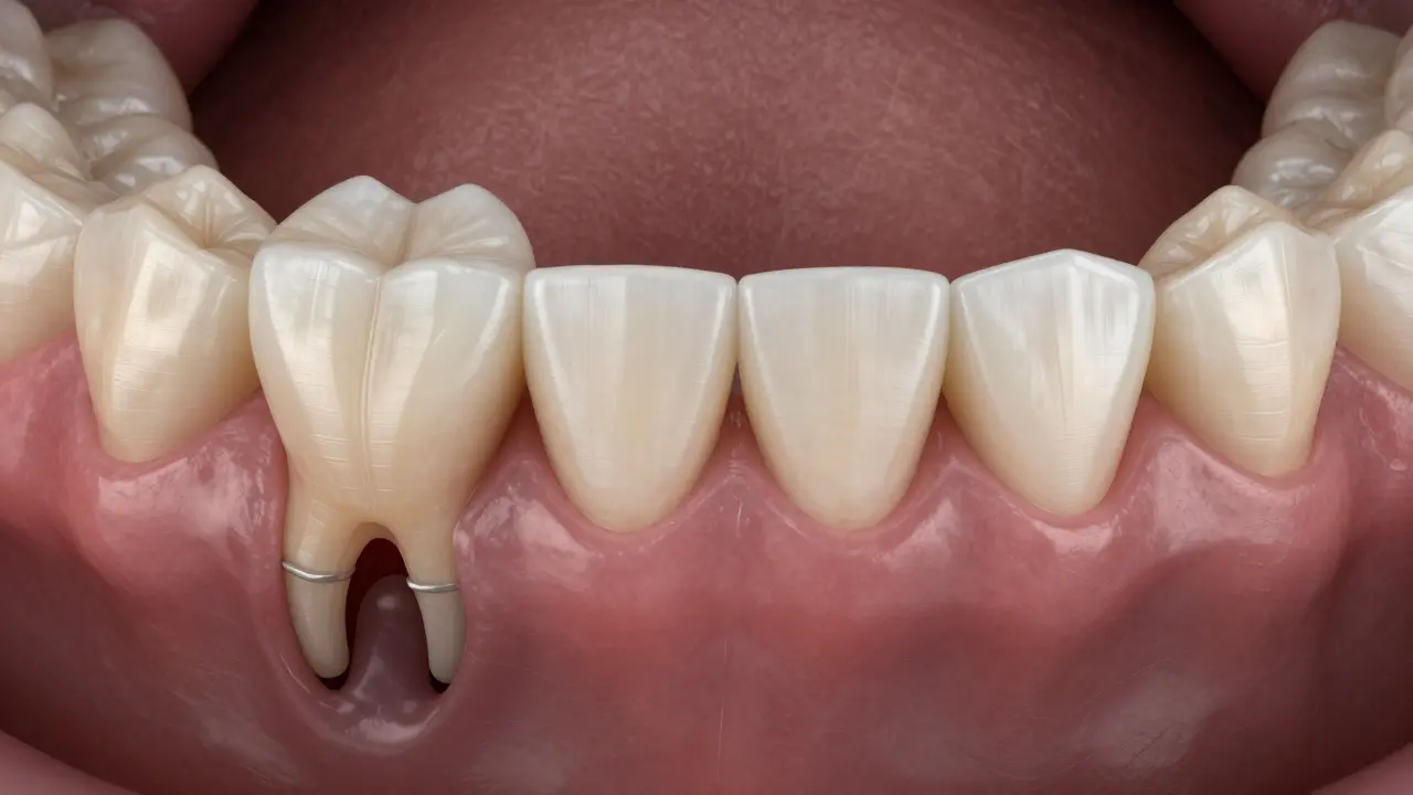
Okostice zubů, nebo také alveolární kost, je ta část čelisti, která obklopuje kořen zubu. Je to ten kousíček kosti, který se kolem něj vytvořil, když zub dorůstal. Vypadá jako malý kámen ve zdi - pevný, strukturovaný, s jemnými dutinami, kde probíhají cévy a nervy. Když zub vypadne, tato kost začíná pomalu mizet. Tělo ji prostě nepotřebuje, když už není zub, který by ji udržoval. To se nazývá resorpce kosti.

U lidí, kteří mají dlouhodobě chybějící zuby, se okostice může zmenšit až o 40 % během prvních dvou let. To znamená, že když se rozhodnete po pěti letech dát si implantaci, může být kost tak tenká, že implantát prostě nesedne. A když se zkusíte dát protézu, může se pohybovat, třít nebo dokonce bolet - protože pod ní už není co držet.

Proč je okostice důležitá pro estetické restaurace?

Estetická restaurace není jen o barvě a tvaru zubu. Je to o tom, aby výsledek vypadal přirozeně - jak když jste ho měli původně. A to znamená, že zub musí stát ve správné pozici, s správným sklonem, s přirozeným výstupem z dásní. Když nemáte dostatek kosti, zub (nebo implantát) může být příliš hluboko, příliš vysoko, nebo nakřivený. Výsledek? Zub vypadá jako „vysávaný“ nebo jako by se vynořoval z dásně jako z vody.

U předních zubů to je ještě vidět víc. Když máte chybějící přední zub a kost je zaniklá, dásně se zhroutí. Vzniká takzvaná „dásňová jamka“ - prostor mezi zubem a dásní, který vypadá jako černá díra. To je jedna z nejčastějších estetických selhání, která lidé poté snaží skrýt pomocí zubních náplní nebo keramiky - ale to je jen náplast. Řešení je v kosti.

Co se děje, když okostice chybí?

Bez okostice se nemůže vytvořit stabilní základ pro žádnou restauraci. Zkusme si to představit:

  • Implantát: Když se ho vkládá do tenké kosti, může se pohybovat, ztrácet integritu nebo se ztratit úplně. V některých případech se implantát ztratí během několika měsíců.
  • Korunky a mosty: Když se opírají o zuby, které už nemají pod sebou dostatek kosti, může dojít k jejich přetížení - a to znamená zlomení, výplňky, které se uvolňují, nebo ztrátu opěrného zubu.
  • Protézy: Plná či částečná protéza, která sedí na zaniklé kosti, se pohybuje. Mluvíte, jíte, smějete se - a ona se posouvá. To není jen nepraktické, je to i psychologicky náročné.

Nejhorší je, že když se okostice ztratí, ztrácíte i možnost dát si kvalitní restauraci. Některé kliniky vám řeknou: „Nemáte dost kosti, nejde to.“ A pak vás posílají k chirurgu - ale to je pozdě. Nejlepší čas na zásah je hned po ztrátě zubu.

Před a po: zaniklá kost pod chybějícím zubem vlevo a obnovená kost s implantací vpravo.

Jak se okostice obnoví?

Naštěstí dnes existují způsoby, jak kost obnovit - a to i v případě, že už je zaniklá. Tyto metody se nazývají regenerace kosti.

Nejčastější metoda je osseopromotivní procedura - tedy vložení speciálního materiálu do místa, kde kost zanikla. Tento materiál může být:

  • Udělaný z vaší vlastní kosti (nejlepší, ale vyžaduje další zákrok)
  • Z umělého nebo dárcovského materiálu (nejčastější - např. hydroxyapatit nebo trávený kůží)
  • S kombinací s růstovými faktory (např. BMP - protein, který říká tělu: „vytvoř kost“)

Procedura se dělá při zákroku, který se nazývá sinus lift (při ztrátě zadních zubů v horní čelisti) nebo bone grafting (při chybějících předních zubech). Zákrok trvá 30-90 minut a je obvykle bezbolestný. Poté potřebujete 3-6 měsíců, než se kost úplně zregeneruje. A až pak můžete začít s implantací nebo protézou.

Když už máte ztracený zub - co dělat?

Nejhorší chyba je čekat. Každý měsíc, kdy necháte prázdné místo, ztrácíte další 1-2 % kosti. V prvních třech měsících je ztráta největší. Proto:

  1. Pokud jste ztratili zub, nečekajte na „lepší čas“. Navštivte zubního lékaře do 3 měsíců.
  2. Požádejte o 3D snímek (CBCT) - ukáže vám přesně, kolik kosti máte a kam se vlastně může implantát vložit.
  3. Pokud je kost zaniklá, neodmítejte regeneraci. To není „dodatečný zákrok“, je to základ.
  4. Pokud vám lékař říká: „Můžeme dát implantát hned“, ale neukázal vám snímek - nevěřte. Kost je základ, ne detail.
Zubní lékař provádí regeneraci kosti pomocí transplantátu, s 3D snímkem v pozadí.

Co se stane, když to ignorujete?

Největší riziko není jen ztráta zubu. Je to ztráta celé čelisti.

Když se kost zaniká, začíná se měnit celá tvář. Dásně se zhroutí, lícové kosti se zmenšují, čelist se zkracuje. Výsledek? Tvář vypadá „vykousnutá“. Vznikají hluboké vrásky kolem úst, ústa se posouvají dolů, čelist se zkracuje. Lidé se začnou ptát: „Co se stalo s tvou tváří?“ - a nevíte, jak odpovědět.

Toto není jen estetika. Je to i funkce. Když máte méně kosti, můžete začít mít problémy s kousáním, mluvením, dokonce s dýcháním. A časem se může vyvinout i bolest kloubu čelisti - temporomandibulární porucha.

Závěr: Kost je základ, ne detail

Okostice zubů není něco, co si můžete dovolit ignorovat. Je to ta neviditelná podpěra, která udržuje celý váš úsměv. Bez ní není žádná korunka, žádná protéza, žádná implantace trvalá. A bez ní se váš úsměv může ztratit - nejen vzhledem, ale i funkcí.

Nejlepší čas na péči o okostici je hned po ztrátě zubu. Ne čekat, až to bude „špatně“. Neříkat si: „To se zvládne.“ Všechno se zvládne - ale jen když začnete dřív.

Je okostice zubů to samé jako kořen zubu?

Ne. Kořen zubu je ta část zubu, která je v kosti - tedy „podpěra“ zubu. Okostice je kost, která obklopuje kořen. Když zub vypadne, kořen zmizí, ale okostice zůstává - až do doby, než se začne resorbovat. Bez okostice už nemůžete vložit nový zub, i když byste měli kořen.

Může se okostice obnovit i po deseti letech?

Ano, ale je to náročnější. Pokud je kost zaniklá více než 50 %, je potřeba více materiálu, delší doba hojení a často i více zákroků. Někdy je nutné vložit kost z jiné části těla (např. z čelisti nebo z kyčle). I tak je většina případů úspěšná - ale cena a čas jsou vyšší než u raného zákroku.

Je regenerace kosti bolestivá?

Ne. Procedura se dělá pod místní anestézií, stejně jako běžný zákrok. Po ní můžete mít mírnou otok a nepohodlí, ale ne víc než po vytažení zubu. Většina lidí se vrátí k běžnému životu za 2-3 dny. Léky na bolest a antivirové předepsané lékařem pomáhají rychle.

Můžu si nechat regenerovat kost i bez implantace?

Ano. Někdy se regenerace dělá proto, aby se zachovala tvářová struktura - například pro budoucí protézu nebo kvůli estetice. Když máte ztracený zub a nechcete implantát, ale chcete, aby vypadalo přirozeně, regenerace kosti může zabránit zhroutení dásní a změně tváře.

Je regenerace kosti hrazena zdravotním pojištěním?

V České republice obvykle ne. Regenerace kosti je považována za estetický nebo doplňkový zákrok, pokud není spojena s nějakým zdravotním rizikem (např. infekce, ztráta čelisti). Pokud však implantace potřebuje kost pro funkční účely (např. kousání), může být část nákladů hrazena. Vždy se zeptejte na konkrétní případ u svého lékaře.

Dalibor Zelenka
Dalibor Zelenka

Jsem stomatolog se specializací na preventivní péči a estetickou stomatologii. Mimo práci v ordinaci rád píšu články a blogy na téma péče o zuby a ústní hygieny, abych rozšířil povědomí o důležitosti pravidelné péče a inovacích v oboru.

Slané Zuby

Nejnovější příspěvky

Kontaktujte nás

ODESLAT ZPRÁVU